VinciSmile authorized doctor training course
1.Design ideas of VinciSmile invisible orthodontic treatment plan
2.Case submission process
3.Photography techniques
4.Preparation of silicone impression
5.Attachment bonding
6.IPR operation
How to start the journey of invisible orthodontic treatment
1.Developing history and advantages of invisible orthodontic technology
2.Basic components of invisible orthodontic treatment: film and attachment
3.Indication classification of invisible orthodontic techniques
4.Brief description of case submission process
How to attract the potential patients with invisible ortho- dontic treatment
1.Who are the candidates for invisible orthodontic treatment?
2.What is the specific technology in the field of invisible orthodontics?
3.How to better run your clinics and receive new patients
4.Tips for admission of different customers
Causes of malocclusion
1.Development law of malocclusion
2.Causes of malocclusion
3.Early prevention of malocclusion
Comprehensive analysis of VinciSmile invisible orthodontic attachments (I)
1.Reasonableness and necessity of attachments in invisible orthodontics
2.Classification of VinciSmile invisible orthodontic attachments
3.Functions of Vincismile invisible orthodontic attachments
Comprehensive analysis of VinciSmile invisible orthodontic attachments (II)
1.How to select the appropriate attachment
2.How to check whether the attachment acts well in revisit
Clinical application of IPR and attachments
1.Clinical operation approach and notes of IPR
2.Clinical operation approach of attachment bonding
Details of clinical treatment from admission to completion
1.How to expand the source of patients with invisible orthodontic treatment
2.Customer psychology--coping with various customers
3.Notes for doctors in receiving the invisible orthodontic cases
4.How to cope with emergencies in the process of admission
5.Necessary follow-up upon the completion of treatment
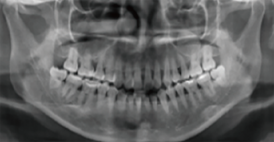
Analysis of oral X-rays for VinciSmile invisible orthodontic treatment
1.The role of panoramic X-ray in invisible orthodontic treatment
2.The role of periapical X-ray in invisible orthodontic treatment
3.The role of cephalometrics in invisible orthodontic treatment
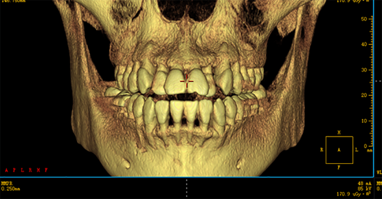
4.Influence of CBCT in the field of oral treatment
Application of CBCT in invisible orthodontic treatment
1.The role of CBCT in orthodontics
2.Diagnosis of embedded teeth
3.Measurement of bone mass and implantation site of implant anchorage
4.Detection of root resorption and joint reconstruction in the process of orthodontic treatment
5.Study on the morphological characteristics of airway
Biomechanical basis of VinciSmile invisible orthodontic treatment
1.Mechanical analysis in invisible orthodontic treatment
2.Types of tooth movement in invisible orthodontic treatment
3.Control of tooth movement by invisible orthodontic appliance
Matters needing attention in initial wearing and wearing time management
1.How to wear the invisible orthodontic appliance
2.Matters needing attention in invisible orthodontic appliance wearing
3.How to clean the appliance
4.Invisible orthodontic appliance wearing time management
Matters needing attention in revisit and retaining & com- pletion
1.Basic examination in revisit
2.Solutions of common problems in revisit
3.Retaining and completion
VinciSmile customer support programme
1.How to work with VinciSmile?
2.What kind of product and technical support can VinciSmile provide?
3.How to push marketing promotion activities?
4.How to promote online?
Series of courses on common problems in invisible ortho- dontic treatment (I)
1.The most common problem--analysis of the causes of posterior open bite
2.Roller coaster effect
3.Solution to posterior open bite
Series of courses on common problems in invisible ortho- dontic treatment (II)
1.Solution to molar mesial inclination
2.Solution to unfit application in treatment
3.Solution to problems in attachment bonding
4.Solution to the oppression of gums by appliance
5.Cause of insufficient teeth rotation
Series of courses on common problems in invisible ortho- dontic treatment (III)
1.Causes of abnormal tooth mobility
2.Unmatched phenomenon between actual tooth movement and treatment plan
3.Countermeasures
4.Summary of common problems
Design concept of invisible correction without tooth ex- traction
1.How to set orthodontic objectives
2.How to master the biomechanical characteristics of invisible orthodontic treatment
3.How to review the designed orthodontic scheme
4.Orthodontic treatment subject to CBCT
Series of courses on invisible orthodontic scheme design in non-extraction treatment (I)
1.Design of tooth movement
2.Design of overcorrection in invisible orthodontic scheme design in non-extraction treatment
3.Control of teeth torque
4.Correction of teeth rotation
Series of courses on invisible orthodontic scheme design in non-extraction treatment (II)
1.Arch 3D control
2.Control of arch width
3.Arch vertical control
Series of courses on invisible orthodontic scheme design in non-extraction treatment (III)
1.Scheme design for open bite in invisible orthodontic treatment
2.Scheme design for Class II malocclusion
3.Scheme design for Class III malocclusion
4.Design of intermaxillary elastics
Series of courses on invisible orthodontic scheme design in non-extraction treatment (IV)
1.Space control of the scheme design in non-extraction treatment
2.Proximal surface contact adjustment and occlusal contact adjustment
3.How to avoid jiggling movement
4.Evaluation of treatment scheme
Analysis of difficulties in invisible orthodontic scheme design
1.Design of overcorrection
2.Design of correction compensation
3.Design of anterior retraction
4.Design with stepwise method
Basic application of auxiliaries in VinciSmile invisible ortho- dontic treatment
1.Classification of auxiliaries in VinciSmile invisible orthodontic treatment
2.Reasonable application of lingual button
3.Application of cleats in invisible orthodontic treatment
If you are an orthodontist or a general practitioner, sign up immediately to learn the VinciSmile online courses.
Dr Registration
For more information about us please send to info@vincismile.com