VinciSmile® Before and after

Show Your Smile More Confidently

VinciSmile can treat a wide range of cases, from mild to complex, and the tooth-correct is more comfortable and accurate.

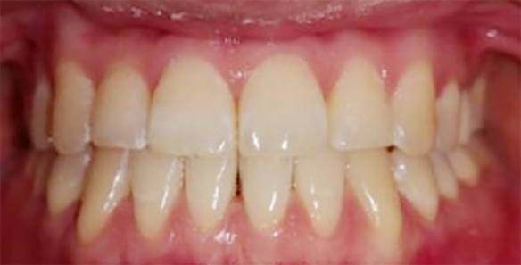
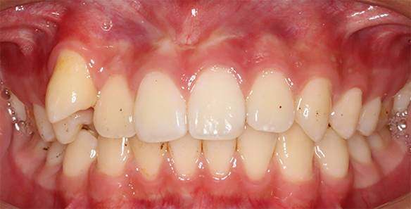
CASE 1

Angle's Class II Crowded Teeth (Non-Extraction Case)

Around 2 years of treatment
3D Scheme Review Watch Video

BEFORE

AFTER

BEFORE

AFTER

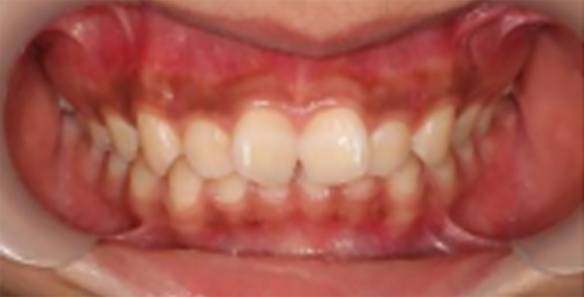
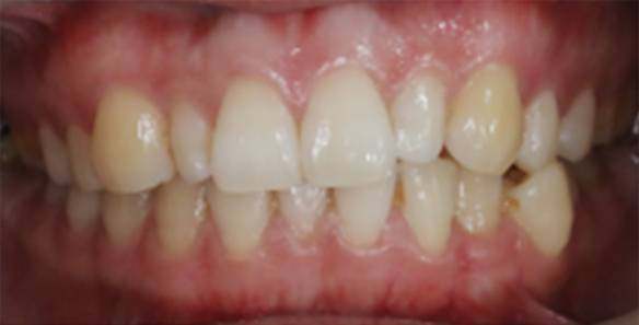
CASE 2

Angle Class III and Skeletal Class III Spaced Teeth

Around 2-2.5 years of treatment
3D Scheme Review Watch Video

BEFORE

AFTER

BEFORE

AFTER

CASE 3

Anterior underbite

Around 1 year of treatment
3D Scheme Review Watch Video

BEFORE

AFTER

BEFORE

AFTER

CASE 4

Angle's Class II Crowded Teeth (Extraction case)

Around 2 years of treatment
3D Scheme Review Watch Video

BEFORE

AFTER

BEFORE

AFTER

CASE 5

Angle's Class III and Skeletal
Class III Severe Anterior Underbite

Around 3 years of treatment
3D Scheme Review Watch Video

BEFORE

AFTER

BEFORE

AFTER

CASE 6

Skeletal Class III
Surgery-First Case

Around 1 year of treatment
3D Scheme Review Watch Video

BEFORE

AFTER

BEFORE

AFTER

CASE 7

Crowded Teeth

Around 2 years of treatment
3D Scheme Review Watch Video

BEFORE

AFTER

BEFORE

AFTER

Try VinciSmile for Your Practice

Be A Distributor
Doctor Registration
×
VinciSmile © All Rights Reserved VinciSmile Official Website Privacy

This field cannot be blank.

This field cannot be blank.

This field cannot be blank.

This field cannot be blank.

This field cannot be blank.

This field cannot be blank.

I agree to receive information about VinciSmile by email, which may contain special offers, information on VinciSmile cases. Your personal data will be processed in accordance with our Privacy Statement. Privacy Statement

This field cannot be blank.

Send